Ecocardiograma Doppler


¿Qué es y para qué sirve?
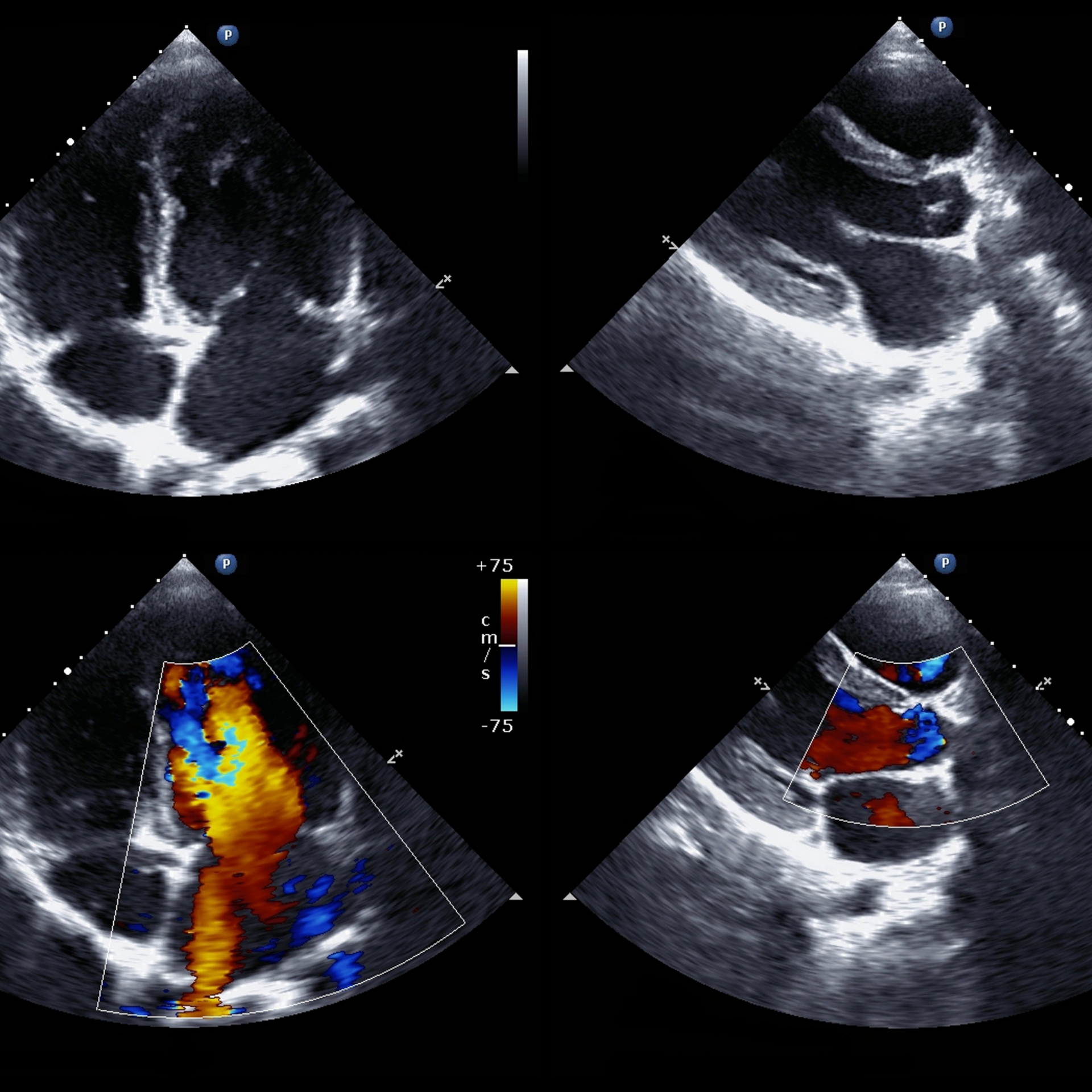
El Ecocardiograma Doppler es un estudio de imagen no invasivo que utiliza tecnología de ultrasonido. Permite valorar en tiempo real el tamaño de las cavidades cardíacas, el movimiento del músculo cardíaco y el funcionamiento de las válvulas. Es fundamental en la evaluación de soplos, repercusiones cardiovasculares de pacientes hipertensos, síntomas como falta de aire y dolor torácico, así como para realizar un seguimiento de diversas enfermedades cardíacas.
Es un estudio indoloro, que no requiere preparación especial y se realiza en el consultorio en pocos minutos.
La atención se realiza en zona de la Terminal de Tres Cruces, con fácil acceso desde distintos puntos de Montevideo.
Agenda disponible en la semana.
